THE ENDODONTIC CENTRE
Patient Cases
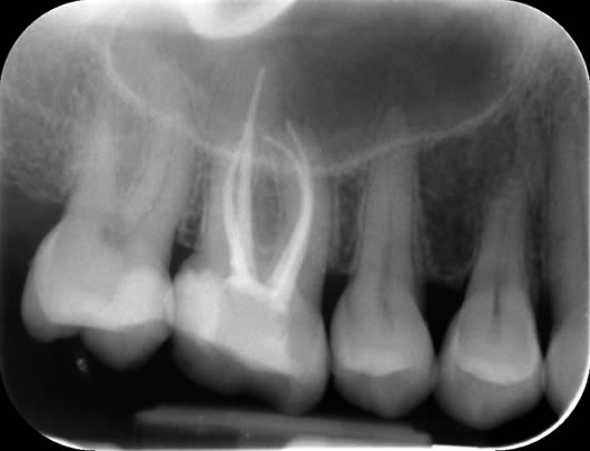
Case 1: Root canal treatment – long roots.
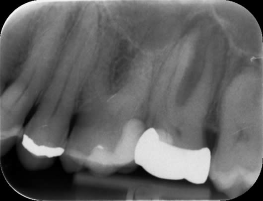
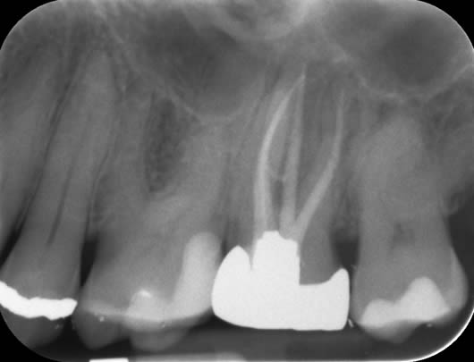
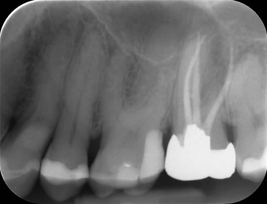
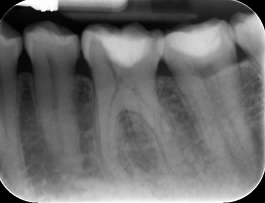
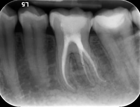
This patient presented with a history of a dull pain and swelling from his upper left second molar (UL7). The tooth had a crown and was tender when tapped. A radiograph (X-ray photograph) showed that there was a large shadow around the roots. This shadow indicates bone loss caused by infection within the root canals. The diagnosis for this tooth was ‘Chronic apical periodontitis’; and the treatment options were either extraction or root canal treatment. After discussion with the patient, we decided to proceed with root canal treatment. As the crown was in good condition, we decided to keep it in place and access through the top of it. This way, a new crown would not be needed after our treatment. In this tooth, all the canals were found; they were long but after careful progress we were able to negotiate to the ends of the roots. This is important as it means we can take our disinfectant solutions to the full length of the canals, enhancing our cleaning potential. The canals were prepared (enlarged to improve penetration of the cleaning solutions), cleaned and filled. A radiograph taken after one year shows good healing as the ‘shadow’ has gone due to regeneration of bone.

Before treatment UL7 - note the ‘shadowing’ around the roots.

Following root canal treatment - the ‘white lines’ are the root fillings within the root canals.

One year review – note the healing of the previous ‘shadow’.
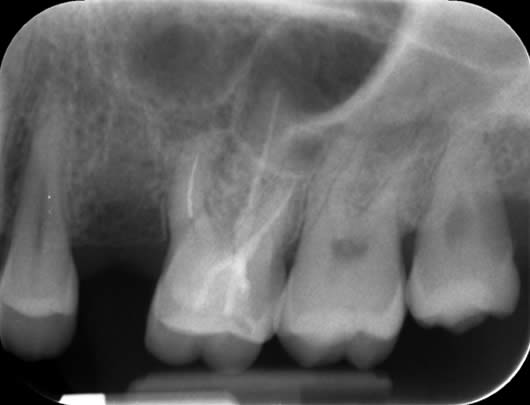
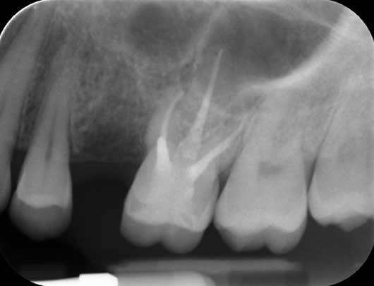
Case 2: Root canal treatment – the elusive MB2 canal.
In approximately 90% of upper first molars there are four root canals. The fourth canal (MB2) is difficult to locate and can be very challenging to negotiate to its end. It is a very common occurrence that this canal is missed during treatment and this can lead to failure. We use a dental microscope, which magnifies the tooth and assists us in locating this canal. We then use a series of tiny instruments in a specific technique, honed over many hours of practice, to negotiate to the end of the canal. This case shows the filling of all four canals.

Pre-operative radiograph UR6

Post-operative radiograph UR6
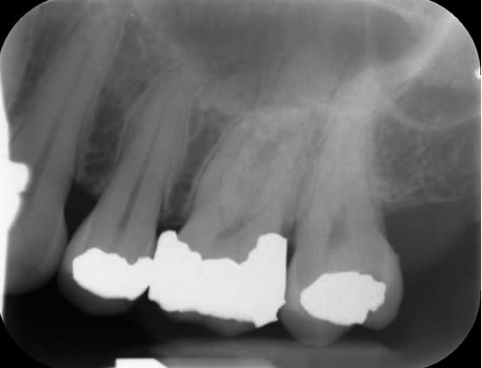
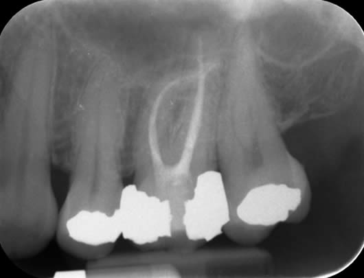
Case 3: Root canal treatment – narrow canals.
As a tooth ages, whether prematurely following trauma or long-term irritation, or in accordance with natural ageing, the root canals can become narrower due to the laying down of further dentine (tooth structure). This can make the canals difficult to locate and very challenging to negotiate to full length. As with finding the elusive MB2 canal (Case 2), we use our experience and the use of the dental microscope to conservatively remove tooth tissue in just the right areas to locate these canals. This cases shows a tooth (UL6) in which it is difficult to see the canals on the radiograph as they are very narrow. We were able to locate four canals (including the challenging MB2 canal) and prepare and fill them.

Before treatment UR6

Following root canal treatment UR6
Case 4: Root canal treatment - curved canals.
Some teeth develop with acutely curved roots. These can be very challenging to treat not least because of stresses it puts on the instruments but also, it can be difficult to maintain the shape. The main challenge in this case was the acute curve in the front (mesio-buccal) root. We managed to maintain the shape after careful progression to ensure our files did not fracture.

Before treatment UL6

Following root canal treatment
Case 5: Root canal treatment – multiple curves and multiple canal exits.
In some cases the canals can follow a tortuous path where they curve in multiple directions along its length. These can be more difficult to negotiate than canals with a single curve. The canals can also exit the root at multiple sites. In these cases, infection can remain sheltered in these sites and can cause the root canal treatment to fail. We use techniques to agitate the cleaning solutions to try to get into all of the hard-to-reach areas of the root canal. You can see on the radiograph that there are multiple white specks at the end of the root; this is the sealing material filling the multiple canal exits.

Pre-operative radiograph LL7

Following root canal treatment LL7
Case 6: Root canal treatment- additional roots.
Occasionally, some teeth can have additional roots. This case shows a lower molar tooth with an addition root. These lower molars normally have two roots with 3-4 canals. This tooth had 3 roots with 5 canals.

Before treatment LL6

Following root canal treatment LL6 (normally this tooth only has two roots)
Case 7: Root canal retreatment – a good healing outcome.
In this case, the patient presented with a ‘blister’ in the gum next to her lower right first molar (LL6). The LL6 had a crown and was tender when tapped. There was a small swelling in the gum with a communication, which we call a sinus. We placed a tracer cone within the ‘blister’ and took a radiograph to see where the infection was draining from. This showed that the tooth had a root filling in the canals and a large shadow around one of the roots. The tracer cone was pointing to this large shadow indicating that this was the source of the ‘blister’. It was clear that the previous root canal treatment had failed and it was thought that the reason for the failure was persistent infection or reinfection of the canals. After discussion of treatment options, we decided to do root canal retreatment. The previous root canal filling was removed from all canals. The canals were then shaped, cleaned and filled again. In between the two treatment visits, the ‘blister’ had healed. We reviewed the tooth one year later and the patient reported that the tooth had been fine. We took a radiograph and could see that the ‘shadow’ had gone and the lesion had filled with new bone.

Before our treatment- the canals contain the root filling from the previous treatment. The tracer cone is pointing to the large ‘shadow’.

After completion of root canal retreatment

1 year review showing complete healing of the previous ‘shadow’.
Case 8: Root canal retreatment - management of a fractured file.
In approximately 90% of upper first molars there are four root canals. The fourth canal (MB2) is difficult to locate and can be very challenging to negotiate to its end. It is a very common occurrence that this canal is missed during treatment and this can lead to failure. We use a dental microscope, which magnifies the tooth and assists us in locating this canal. We then use a series of tiny instruments in a specific technique, honed over many hours of practice, to negotiate to the end of the canal. This case shows the filling of all four canals.

Before our treatment UL6 (note the bright white line in the root on the left- this is the fractured file)

After completion of root canal treatment